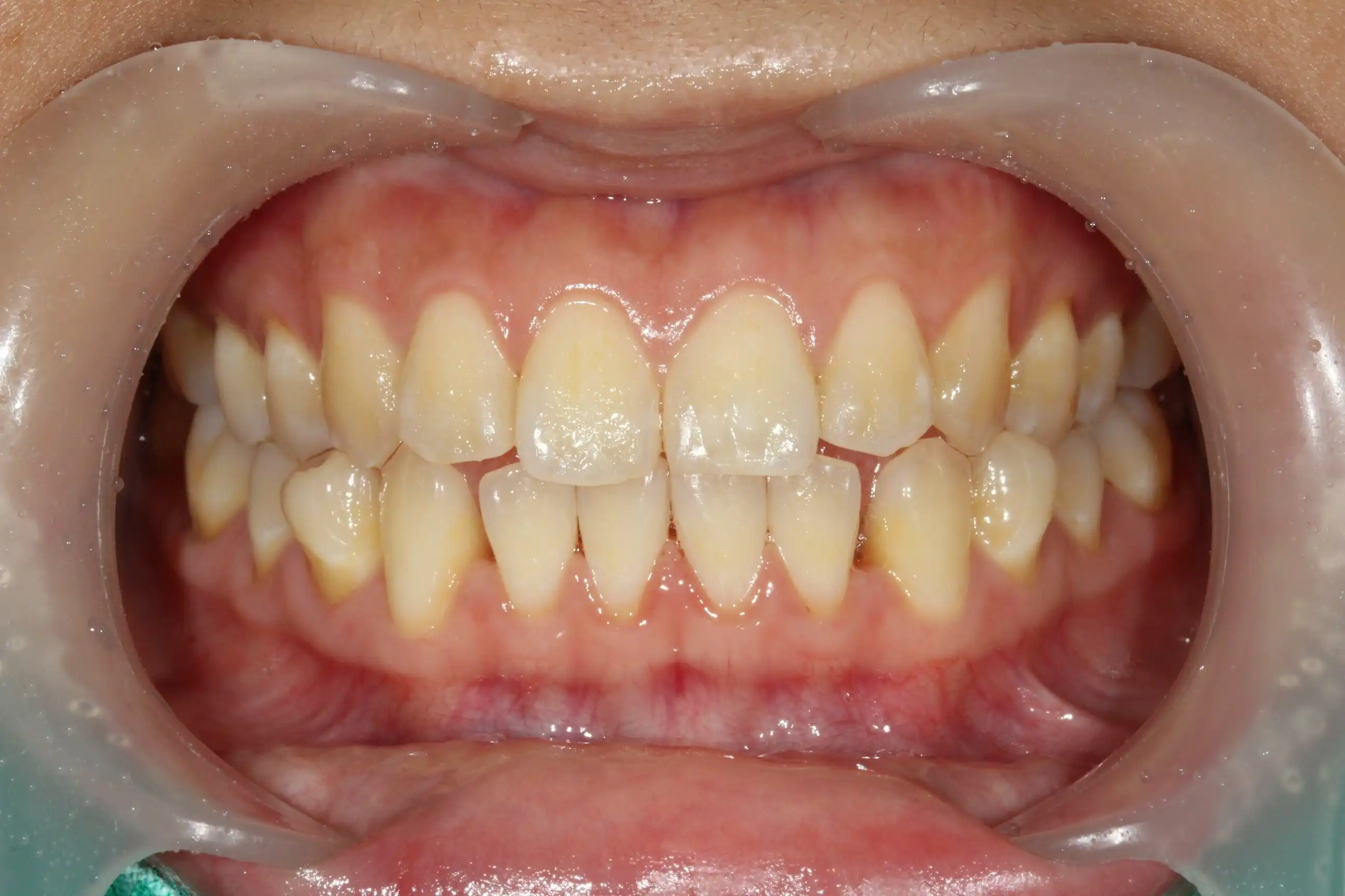
전

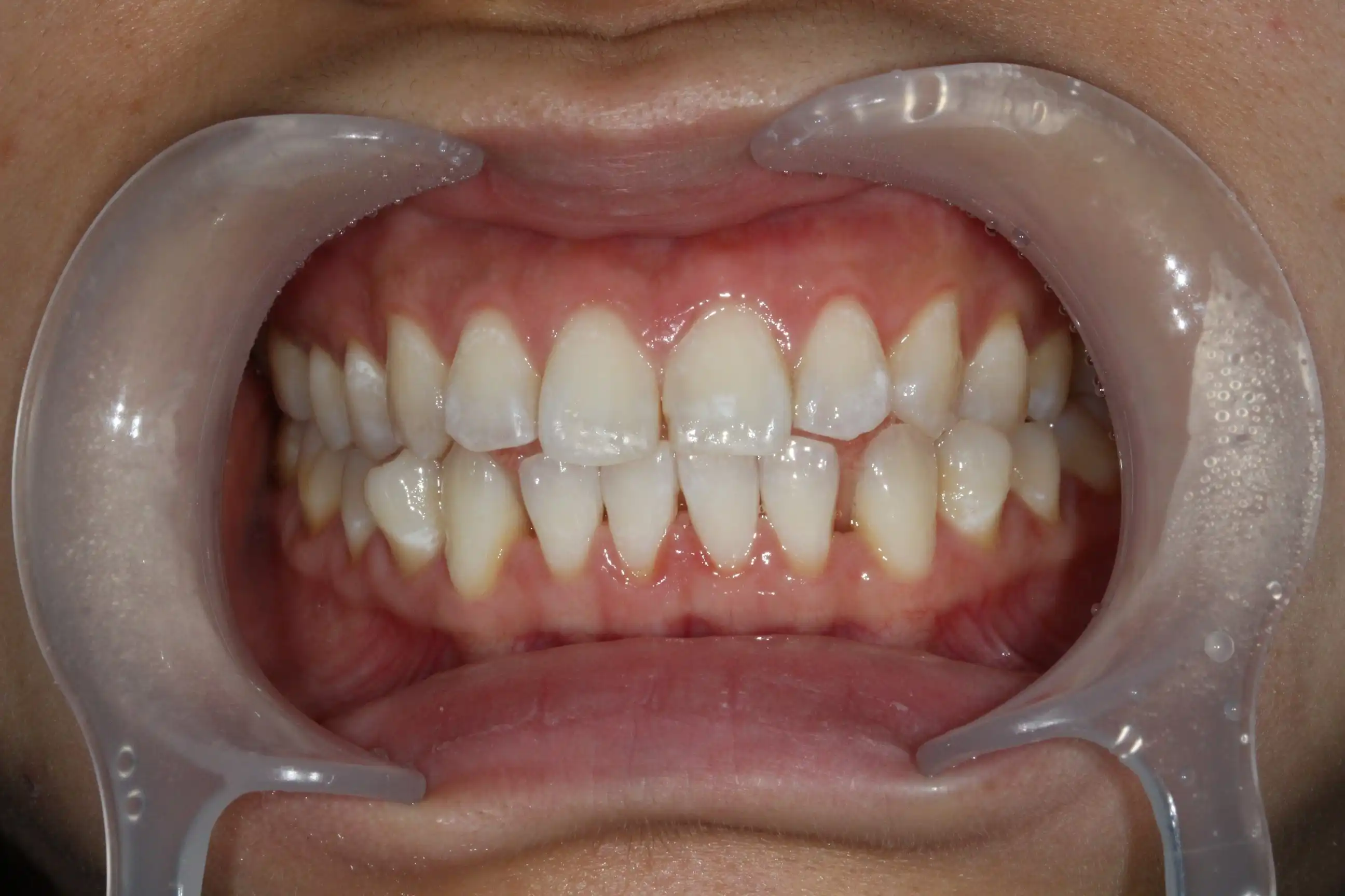
후

시설도 깔끔하고 이도 하얘졌어요! 추천합니다. 앞으로 이도 좀 더 잘닦고, 치실도 꼭 하면서 관리해야한다고 하시더라구요. 기간은 3개월 정도 지속된다고하네요. 시술 당일엔 좀 이가 시렵습니다.
이*림
|
2023-08-08
도움돼요
0
루센트치과의원
개개인마다 시림은 차이가 있을 수 있습니다 좋은 후기 감사합니다 :)

루센트치과의원
|
서초구
4.8
(후기 120개)
80만원

서울 서초구 사평대로 368 (서초동, 듀오 신논현빌딩) 3층, 4층

조성주

허수복

정원채

김사무엘

금재민
1명의 의사 더보기
4.8
(120개)
후기 쓰고 최대
5000포인트 받기
추천순
|
최신순
전

후

시설도 깔끔하고 이도 하얘졌어요! 추천합니다. 앞으로 이도 좀 더 잘닦고, 치실도 꼭 하면서 관리해야한다고 하시더라구요. 기간은 3개월 정도 지속된다고하네요. 시술 당일엔 좀 이가 시렵습니다.
이*림
|
2023-08-08
도움돼요
0
루센트치과의원
개개인마다 시림은 차이가 있을 수 있습니다 좋은 후기 감사합니다 :)
후

시설도 너무 깔끔하고 대기시간이 적어서 좋았어요! 원장님, 실장님도 다들 너무 친절하게 설명 해주시고 잘 해주셔서 친구도 데려와서 같이 교정 시작했어요 처음이라 불편하지만 2-3주차 되니까 금방 적응해서 남은 시간 빨리 지나가서 끝난 모습 기대돼요!! 아플까봐 무서웠는데 안아프고 친절하게 설명 잘해주셔서 너무 감사해요 ~
2022-07-04
도움돼요
0
전

직원분들도 다 너무 친절하시고~ 가격도 타사 대비 합리적인 것 같아요~ 아직 브라켓은 안붙였지만 가까운 일정 끝나고 하기로 했습니다. 브라켓이 작고 하얘서 티 별로 안날것 같더라구요!
손*윤
|
2023-05-31
도움돼요
0
루센트치과의원
좋은 후기 감사합니다 :)
익명
|
2023-05-24
답변완료
앞니가 밖으로 많이 나와서 입이 툭 튀어나와서 보기 안좋은데 비용이 얼마나 드나요
루센트치과의원
안녕하세요 치아교정의 경우 장치 선택에 따라 검사 및 교합에 교정 기간에 따라 개개인의 차이가 있을 수 있습니다~ 내원 후 검사 진행 후 도와드릴 수 있을 것 같습니다.
익명
|
2023-05-17
답변완료
옆 덧니는 부분 교정가능한가요? 비용은 얼마정도 드나요.
루센트치과의원
안녕하세요 치아교정의 경우 장치 선택에 따라 검사 및 교합에 교정 기간에 따라 개개인의 차이가 있을 수 있습니다~ 내원 후 검사 진행 후 도와드릴 수 있을 것 같습니다.
익명
|
2023-05-11
답변완료
15개 임플란트틀리하면 가격좀알고싶어요
루센트치과의원
안녕하세요 임플란트의 경우 검사진행 후 선택하시는 보철에 따라 가격이 상이할 수 있습니다. 내원 후 검사 후에 도와드릴 수 있습니다!