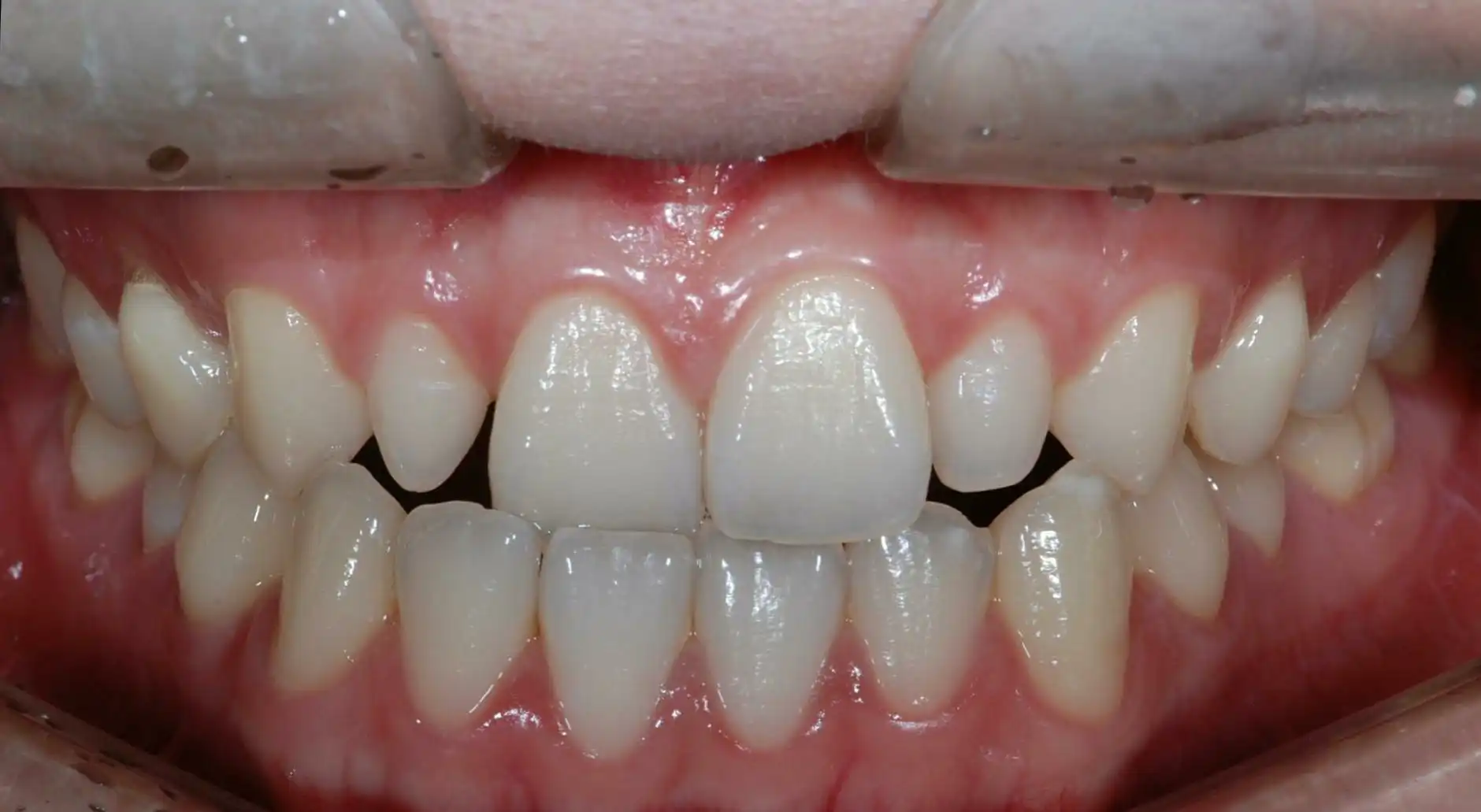
전

후

지인분 소개로 라미네이트 하고 왔습니다. 비용도 괜찮고 맘에 듭니다. 연예인 분들도 와서 하시더라구요. 막 사진찍고 그러시던데요.
2024-11-17
도움돼요
0
화이트드림치과
안녕하세요, 화이트드림치과입니다. 소중한 시간 내어 리뷰 남겨주셔서 감사합니다 ^^ 앞으로도 믿고 맡기실 수 있도록 꼼꼼하고 정직한 진료로 보답 드리겠습니다. 감사합니다 :)
화이트드림치과
|
서초구
4.5
(후기 216개)
400만원
서울 서초구 서초대로77길 17 (서초동, BLOCK77) 5층
4.5
(216개)
후기 쓰고
200포인트 받기
추천순
|
최신순
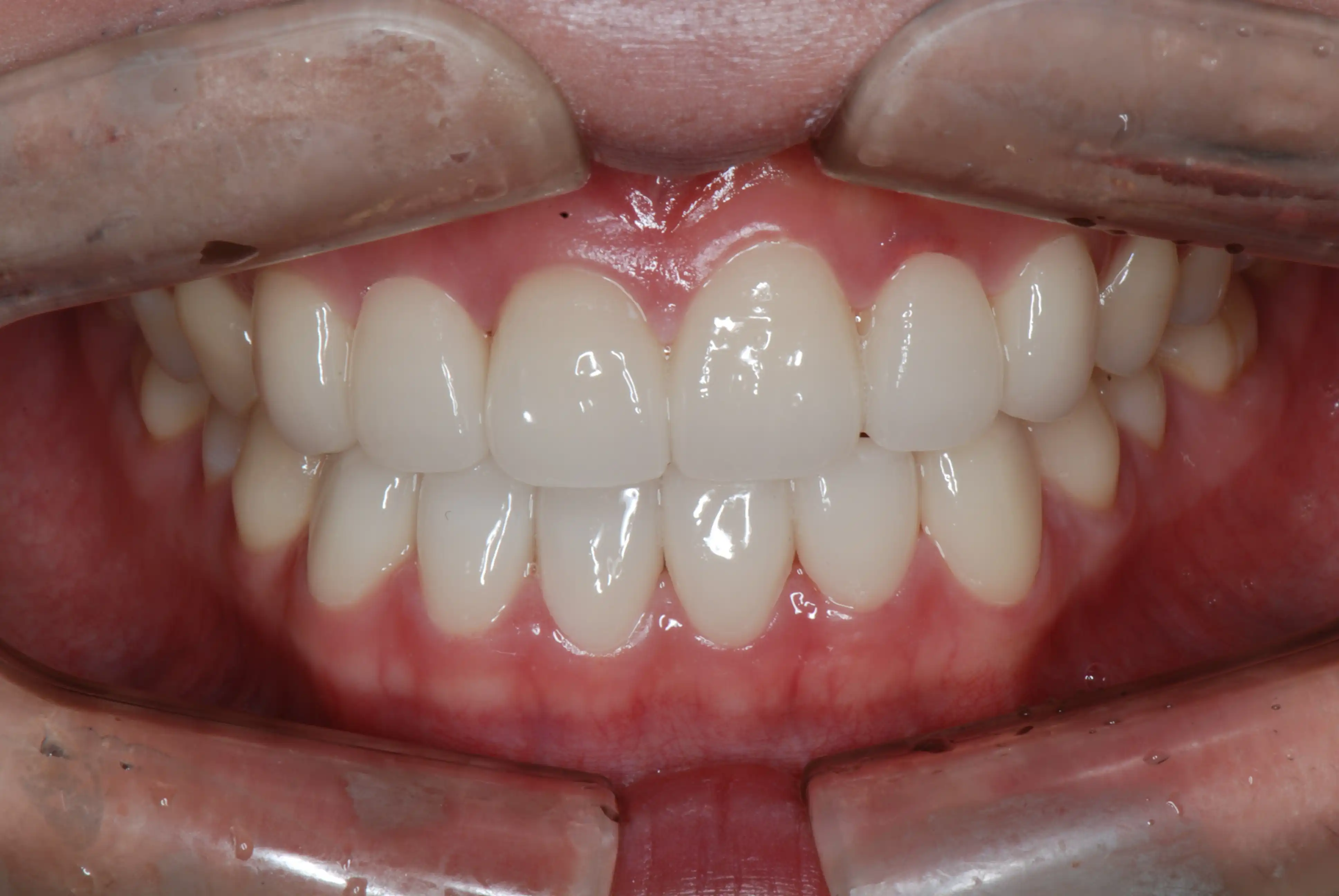
전
후
지인분 소개로 라미네이트 하고 왔습니다. 비용도 괜찮고 맘에 듭니다. 연예인 분들도 와서 하시더라구요. 막 사진찍고 그러시던데요.
2024-11-17
도움돼요
0
화이트드림치과
안녕하세요, 화이트드림치과입니다. 소중한 시간 내어 리뷰 남겨주셔서 감사합니다 ^^ 앞으로도 믿고 맡기실 수 있도록 꼼꼼하고 정직한 진료로 보답 드리겠습니다. 감사합니다 :)
전
과잉진료없다는 리뷰 많이 보이더라구요🙂 원장님이 설명을 엄청 잘해주십니다. 수술도 잘하시고, 다른 직원분들도 친절하고 좋았습니다. 굿!!!
2024-11-15
도움돼요
0
화이트드림치과
화이트드림치과 대표원장 정수윤입니다. 앞으로도 만족스럽고 신뢰할 수 있는 의료서비스를 제공하도록 최선의 노력을 다하겠습니다. 소중한 리뷰에 감사드리며 오늘도 좋은 하루 보내세요.^^
전
후
임플란트 저렴한 가격에 시술 받았습니다. 과잉진료 없고 아직 문제없이 잘 지내고 있습니다. 의사선생님이 설명을 너무 잘해주셔서 믿고 진료받고 있습니다.
2024-11-12
도움돼요
0
2025-01-31
답변완료
수면마취 하고 임플란트 할수있나요??
화이트드림치과
안녕하세요, 본원은 수면마취를 따로 진행하고 있지 않습니다. 따로 더 궁금하신 부분이 있다면 본원으로 문의 주시면 친절하게 안내 도와드리도록 하겠습니다! 감사합니다^^
2025-01-31
답변완료
임플란트하고 교정할수있나요??
화이트드림치과
안녕하세요, 같이 진행을 원하실경우 보통 교정 먼저 시작하시고 중간에 시기체크후 맞춰서 임플란트 도와드리고 있습니다. 정확한건 원장님 진단 먼저 필요하신 부분입니다! 따로 더 궁금하신 부분이 있다면 본원으로 문의 주시면 친절하게 안내 도와드리도록 하겠습니다! 감사합니다^^
익명
|
2025-01-24
답변완료
치아 아랫안쪽이가 없는상태라 언젠가는 임플란트를 해야하는상태이지만 당장은 임플란트에관한 상담만 하고 싶은데 상담비는 어느정도알고싶습니다
화이트드림치과
안녕하세요, 초진시 x-ray 촬영 필요하여 만원안팎으로 생각해주시면 좋습니다. 따로 더 궁금하신 부분이 있다면 본원으로 문의 주시면 친절하게 안내 도와드리도록 하겠습니다! 감사합니다^^