방문인증후기
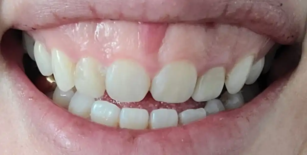
전

후

잇몸이 심하게 보이는 입술인데 보톡스맞고 진짜 좋아졌어요. 왜 진작 시술을 안했나 후회할 정도에요. 의사쌤, 간호사쌤 넘 친절하세요.
2022-06-20
도움돼요
0
이오클리닉
감사합니다^^ 이미지에 영향을 많이 주는 시술인 만큼 더욱 더 꼼꼼하게 디자인하여 진행하고 있습니다. 앞으로 궁금하신 점 언제든지 문의주세요 :)
이오클리닉
|
강남구
4.5
(후기 88개)
33%
22만원
33만원
서울 강남구 봉은사로 117 (논현동, 이건빌딩) 9층, 10층 일부
정이호
최원철
4.5
(88개)
후기 쓰고
200포인트 받기
추천순
|
최신순
전
후
잇몸이 심하게 보이는 입술인데 보톡스맞고 진짜 좋아졌어요. 왜 진작 시술을 안했나 후회할 정도에요. 의사쌤, 간호사쌤 넘 친절하세요.
2022-06-20
도움돼요
0
이오클리닉
감사합니다^^ 이미지에 영향을 많이 주는 시술인 만큼 더욱 더 꼼꼼하게 디자인하여 진행하고 있습니다. 앞으로 궁금하신 점 언제든지 문의주세요 :)
완전 친절 상담~ 오기전까지 좀 무섭기도 했는데 안심 되네요. 좋은결과 있었음 좋겠어요..
2022-03-03
도움돼요
0
이오클리닉
감사합니다♥ 좋은 결과를 위해 앞으로 함께 노력하는 이오클리닉이 되겠습니다 :) 진행 중 궁금하신 점이나 불편하신 점은 언제든 말씀 주세요!
추천 받아서 방문했는데 역시나 좋으네요. 만족해요. 직원분들이 다 친절하시고 선생님께서도 설명도 잘해주시고 꼼꼼하게 진료 봐주세요.
선*주
|
2024-07-27
도움돼요
0