전

전

임플란트 첨이라서 무서웠는데 치과 여러군데 다녀봤는데 다른데는 무조건 뽑아야된다고 하는데 여기는 왜 뽑아야되는지, 빼고나선 어떤 치료 진행되는지까지 이해하기 쉽게 설명해주시네요 엄청 친절하게 설명해주시니 마음이 놓였어요 상담 선생님들 친절하고 잘해주시고 여기가 최고네요 병원도 엄청 크고 시설도 좋고 깨끗하고 체계도 잘 잡혀있는 것 같어요 감사합니다~
2025-01-10
도움돼요
0

더케이365치과병원
|
계양구
4.6
(후기 46개)
21%
550만원
700만원

인천 계양구 장제로 794 (계산동, 동양빌딩) 더케이365치과병원
4.6
(46개)
후기 쓰고 최대
5000포인트 받기
추천순
|
최신순
전

전

임플란트 첨이라서 무서웠는데 치과 여러군데 다녀봤는데 다른데는 무조건 뽑아야된다고 하는데 여기는 왜 뽑아야되는지, 빼고나선 어떤 치료 진행되는지까지 이해하기 쉽게 설명해주시네요 엄청 친절하게 설명해주시니 마음이 놓였어요 상담 선생님들 친절하고 잘해주시고 여기가 최고네요 병원도 엄청 크고 시설도 좋고 깨끗하고 체계도 잘 잡혀있는 것 같어요 감사합니다~
2025-01-10
도움돼요
0
전

스케일링 받으러 갔다 미백 상담했는데 후기보고 믿음이 있던 터라 미백 진행해봤어요 당일에 바로 되고 친구들이 미백 받으면 이 시리다고 해서 쫄았는데 전 하나도 안시리던뎅.. 그리고 효과 진짜 좋아서 뽀얀 치아가 돼서 신기해용
2025-05-12
도움돼요
0
전

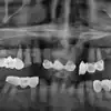
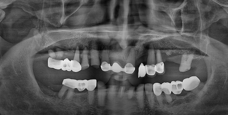
엄마 임플란트 해드려야해서 모시고 갔는데 왠만한 치과치료는 다 가능하네요~ 동네에 큰 치과병원이 있어서 든든해요 원래 치아가 약하셔서 이번에 효도할겸 임플란트 해드렸는데 자세하게 검사 해주시고 잇몸 위치, 뼈상태부터 어떤 치료를 왜 해야하는지 까지 설명을 해주셔서 좋았어요~ 아빠도 의사선생님 기술이 좋은거 같다며 ㅎㅎ 엄마 부러워 하셔서 예약 잡았어요
2025-02-06
도움돼요
0