전

예약을하고 가게되면 기다릴 필요없이 바로 치아 촬영후에 상황을 알려주는데요. 친절하고 꼼꼼하게 촬영한사진을 본인과 함께 치료계획을 잡아주시고 부담없이 시간조욜 하게 일정도 맞춰주신답니다. 소소하게 디테일한점은 화장실에 칫솔과 치약이 있어 진료전 양치하고 상쾌하게 정밀하게 체크검사 할수있었던점이 좋았어요 감사합니다
고*신
|
2024-01-10
도움돼요
0

안녕하세요치과의원
|
안산시 단원구
4.9
(후기 317개)
45%
49만원
90만원

경기 안산시 단원구 광덕대로 206 (고잔동, 골든빌) 2층 207, 208호
4.9
(317개)
후기 쓰고
200포인트 받기
추천순
|
최신순
전

예약을하고 가게되면 기다릴 필요없이 바로 치아 촬영후에 상황을 알려주는데요. 친절하고 꼼꼼하게 촬영한사진을 본인과 함께 치료계획을 잡아주시고 부담없이 시간조욜 하게 일정도 맞춰주신답니다. 소소하게 디테일한점은 화장실에 칫솔과 치약이 있어 진료전 양치하고 상쾌하게 정밀하게 체크검사 할수있었던점이 좋았어요 감사합니다
고*신
|
2024-01-10
도움돼요
0
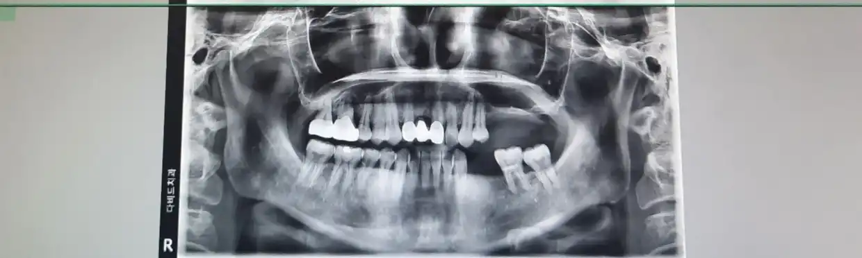
전

후

거리가 멀어서 고민을 많이했습니다 몸도 고생하고 돈도 많이들어가서 걱정했는데 집앞에 다니는 치과와비교하니 가격적인면에서 너무도 비교되어 서울로 정하고 다니기로 맘먹은게 대만족을 느낍니다. 예뻐지는 치아모습에 자신감이 생깁니다
2023-05-31
도움돼요
0
안녕하세요치과의원
안녕하세요. 다비드치과입니다. 만족스러운 교정 중이셔서 다행이네요~ 교정은 정기검진 및 지속적인 관리가 중요하니 계속적으로 관리해주세요^^ 감사합니다.
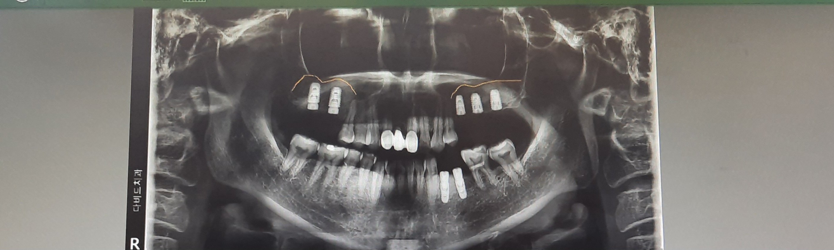
전

후

경기도 화성에 거주중인 48세 남성입니다. 캐시닥을 통해 다비드치과를 알게 되었습니다. 간단한 전화 상담 후 내원하여 검진 후 임플란트 시술을 결정하였고 당일 동네 병원보다 거의 40%저렴한 가격에 뼈이식과 7개 임플란트 식립까지 마쳤습니다.
이*진
|
2023-08-26
도움돼요
0
안녕하세요치과의원
안녕하세요 다비드치과입니다. 소중한 후기 감사드립니다. 앞으로 더 노력하는 다비드치과가 되겠습니다.^^
2023-10-31
답변완료
상담예약은 어떻게하나요?
안녕하세요치과의원
안녕하세요 다비드치과입니다. 캐시닥에서 상담신청해주시면 병원에서 빠르게 상담 도와드리겠습니다. 병원이벤트 상세페이지 하단에서 신청해주세요! 감사합니다.
익명
|
2023-10-25
답변완료
물방울 레이져로 치료하시는지요?
안녕하세요치과의원
안녕하세요 다비드치과입니다. 현재 물방울 레이져 임플란트는 시행하고 있지는 않지만, 동일한 방법으로 작은 구멍만 내어서 임플란트 식립은 가능합니다. 마찬가지로 통증이나 출혈을 줄일 수 있으며, 회복기간도 단축되는 장점이 있습니다. 내원하시면 자세한 상담 가능합니다. 감사합니다.
익명
|
2023-10-21
답변완료
치아관리를 전혀 안한 40대입니다. 어금니는 거의 빠지고, 앞니도 썩기 시작하여 급합니다. 그동안 병원비도 병원비지만 무섭고, 안일하게 살았더니 이지경까지 왔네요.ㅜㅜ 비용은 어느정도 예상해야하며, 치료기간은 어느정도 들까요?
안녕하세요치과의원
안녕하세요 다비드치과입니다. 답변이 늦었네요^^;; 현재 상태에따라 다르겠지만, 빠르면 3~4개월이고 길면 6개월 전 후로 예상하시면 되구요~ 식사문제가 있으실경우 마무리전까지는 임시치아로 대체가능합니다. 임플란트 현재 이벤트중이라서 개당35만원에 마무리 가능하시고, 만약 뼈이식이 필요한 부위가 있으실경우 2~30만원정도는 비용발생되며, 내원하시면 개수많으신경우 어느정도 비용배려 및 비용절감방법 등 분할납부 가능하시며 상세계획 해드리고있습니다. 감사합니다.