meta-pixel-eventdetail
캐시닥 앱 설치

캐시닥 앱 설치

쪽지쪽지알림알림스크랩스크랩
로그인로그인
병원관리자 서비스병원이벤트 입점 문의

더케이365치과병원의 후기

추천순

|

최신순

4.5

(48개)

방문인증후기

전

전

임플란트 첨이라서 무서웠는데 치과 여러군데 다녀봤는데 다른데는 무조건 뽑아야된다고 하는데 여기는 왜 뽑아야되는지, 빼고나선 어떤 치료 진행되는지까지 이해하기 쉽게 설명해주시네요 엄청 친절하게 설명해주시니 마음이 놓였어요 상담 선생님들 친절하고 잘해주시고 여기가 최고네요 병원도 엄청 크고 시설도 좋고 깨끗하고 체계도 잘 잡혀있는 것 같어요 감사합니다~

***

|

2025-01-10

도움돼요

0

방문인증후기

전

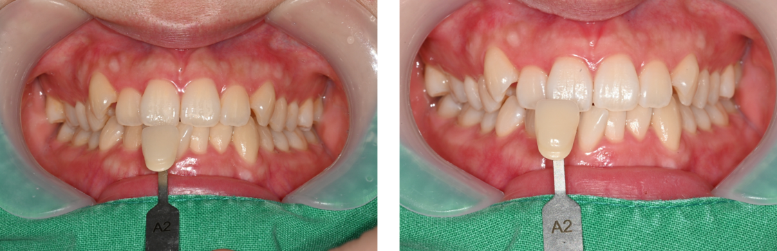
스케일링 받으러 갔다 미백 상담했는데 후기보고 믿음이 있던 터라 미백 진행해봤어요 당일에 바로 되고 친구들이 미백 받으면 이 시리다고 해서 쫄았는데 전 하나도 안시리던뎅.. 그리고 효과 진짜 좋아서 뽀얀 치아가 돼서 신기해용

***

|

2025-05-12

도움돼요

0

방문인증후기

전

엄마 임플란트 해드려야해서 모시고 갔는데 왠만한 치과치료는 다 가능하네요~ 동네에 큰 치과병원이 있어서 든든해요 원래 치아가 약하셔서 이번에 효도할겸 임플란트 해드렸는데 자세하게 검사 해주시고 잇몸 위치, 뼈상태부터 어떤 치료를 왜 해야하는지 까지 설명을 해주셔서 좋았어요~ 아빠도 의사선생님 기술이 좋은거 같다며 ㅎㅎ 엄마 부러워 하셔서 예약 잡았어요

***

|

2025-02-06

도움돼요

0

방문인증후기

전

전

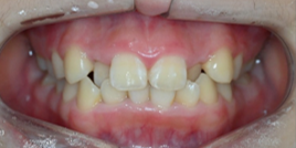
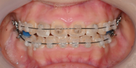
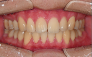
교정 상담 갔다가 바로 교정 등록했어요 검사하는데 입 벌리고 있으니깐 제 입 생김새가 화면에 다 나오는데 부끄러우면서 신기했어요 ㅎㅎㅎㅎ 교정 진행과정도 자세하게 설명 잘해주셔서 감사합니다

***

|

2025-02-07

도움돼요

0

방문인증후기

전

전

스케일링 오랜만에 받고서 미백 관심있어서 문의했다가 진행했는데 할때 이빨 시릴 수 있다고 주의사항도 설명 잘해주시구 평소에 커피 잘 안먹는데도 이가 누래서 싫었는데 이번 기회에 콤플렉스 해결했어요

***

|

2025-02-17

도움돼요

0

방문인증후기

전

집에서 미백기계로 시도하다가 여러 번 돈만 버렸는데 치과에서 하는 미백은 완전 다르네여!!!! 진짜 치아 자신감 상승 ㅋㅋㅋ 이런거군여 역시 전문가에게 맡겨야하나봐요 미리 다음 세트 예약했어요

***

|

2025-02-01

도움돼요

0

방문인증후기

전

후

데스크 선생님들 친절하셔서 깜놀 ㅋ 진료실에서도 원장님 설명 자세히 해주시고 집가깝고 가격이 넘 괜찮아서 교정 진행하기로 했습니다 기대돼요

***

|

2024-11-07

도움돼요

0

방문인증후기

전

흡연이랑 커피 좋아하는 편이라 이가 누래서 스트레스가 심했는데 콤플렉스 해결했어요 미백 치료할때 이가 시릴 수 있다고 설명 해주셨는데 안아프고 편안하게 잘 받았네요 직원 분들 다 친절하시고 치과가 규모가 크네요 만족했습니다~! 친구들한테도 추천해줬어요

***

|

2025-05-07

도움돼요

0